Smile Gallery

Crown Case #1

Four anterior crowns can make such a difference!

Crown case #1 - before - Jan. 26, 2023Crown case #1 - after - Jan. 26, 2023

Crown Case #2

Four porcelain crowns and two weeks later, this happy patient will be smiling big for years to come!

Crown case #2 - before - March 18, 2023Crown case #2 - after - March 18, 2023

Crown Case #3

Six anterior crowns – “the best decision I ever made for myself”.

Crown case #3 - before - March 9, 2023Crown case #3 - after - March 9, 2023

Crown Case #4

Six anterior crowns and this patient had a new smile!

Dr. Kyle Hunt, Dr. Walter Hunt, DR. Andrew Heinsisch. Personal Care Dentistry. General, Cosmetic, Restorative, Preventative, Family Dentist, Botox, Invisalign, Dental Implants, Emergency Dental Services, Crowns, TMD, Extractions, Periodontal Treatments Dentist in Roseville, MN 55113Dr. Kyle Hunt, Dr. Walter Hunt, DR. Andrew Heinsisch. Personal Care Dentistry. General, Cosmetic, Restorative, Preventative, Family Dentist, Botox, Invisalign, Dental Implants, Emergency Dental Services, Crowns, TMD, Extractions, Periodontal Treatments Dentist in Roseville, MN 55113

Crown Case #5

Gum surgery and replacing gold crowns with tooth-colored crowns radically altered this patient’s smile.

Dr. Kyle Hunt, Dr. Walter Hunt, DR. Andrew Heinsisch. Personal Care Dentistry. General, Cosmetic, Restorative, Preventative, Family Dentist, Botox, Invisalign, Dental Implants, Emergency Dental Services, Crowns, TMD, Extractions, Periodontal Treatments Dentist in Roseville, MN 55113Dr. Kyle Hunt, Dr. Walter Hunt, DR. Andrew Heinsisch. Personal Care Dentistry. General, Cosmetic, Restorative, Preventative, Family Dentist, Botox, Invisalign, Dental Implants, Emergency Dental Services, Crowns, TMD, Extractions, Periodontal Treatments Dentist in Roseville, MN 55113

Crown Case #6

A patient in her 60s wanted two extremely discolored front teeth fixed. A pair of crowns and she had a new smile!

Dr. Kyle Hunt, Dr. Walter Hunt, DR. Andrew Heinsisch. Personal Care Dentistry. General, Cosmetic, Restorative, Preventative, Family Dentist, Botox, Invisalign, Dental Implants, Emergency Dental Services, Crowns, TMD, Extractions, Periodontal Treatments Dentist in Roseville, MN 55113Dr. Kyle Hunt, Dr. Walter Hunt, DR. Andrew Heinsisch. Personal Care Dentistry. General, Cosmetic, Restorative, Preventative, Family Dentist, Botox, Invisalign, Dental Implants, Emergency Dental Services, Crowns, TMD, Extractions, Periodontal Treatments Dentist in Roseville, MN 55113

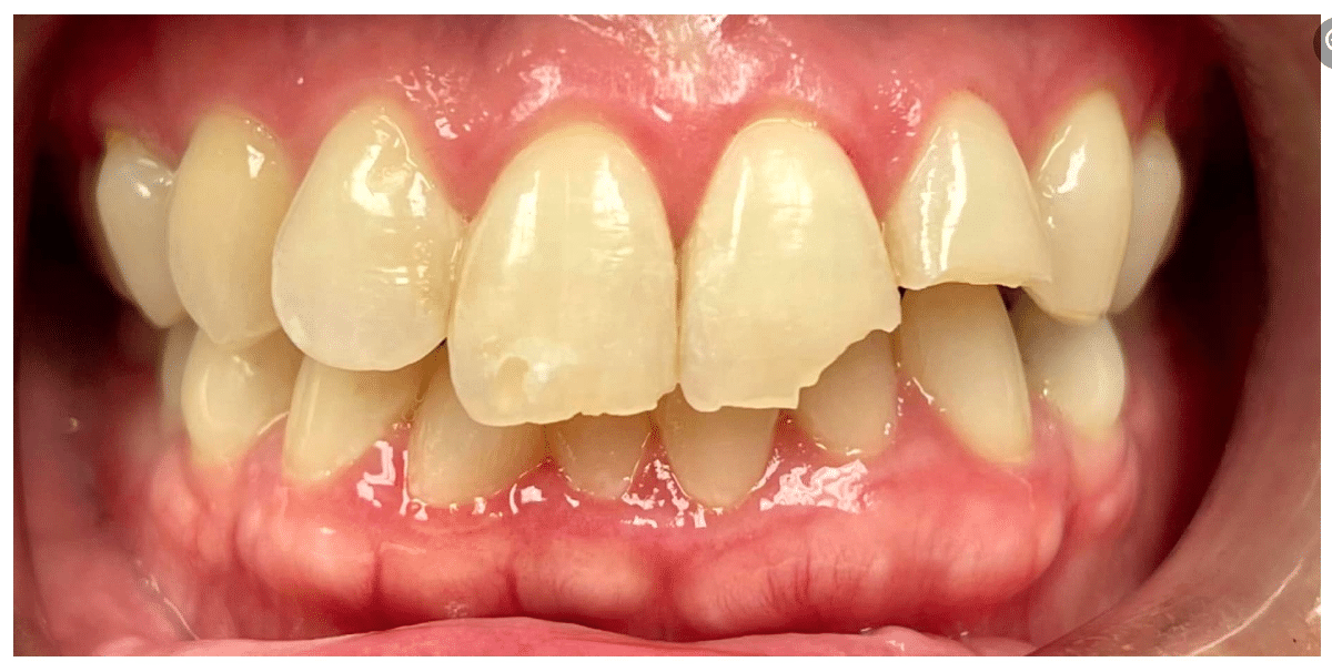
Clear Aligner Case #1

Front teeth straightened in 10 months for mid-40s patient.

before invsalign 1before invisalign 1 (1)

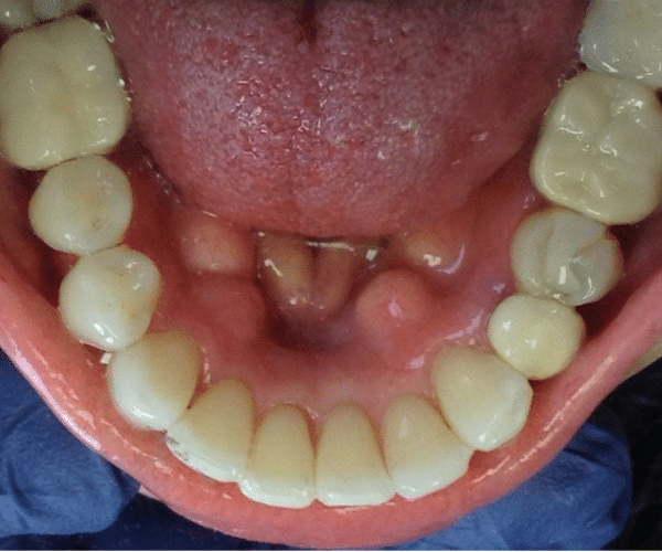
Clear Aligner Case #2

Lower teeth straightened in 12 months for late-60s patient.

Dr. Kyle Hunt, Dr. Walter Hunt, DR. Andrew Heinsisch. Personal Care Dentistry. General, Cosmetic, Restorative, Preventative, Family Dentist, Botox, Invisalign, Dental Implants, Emergency Dental Services, Crowns, TMD, Extractions, Periodontal Treatments Dentist in Roseville, MN 55113Dr. Kyle Hunt, Dr. Walter Hunt, DR. Andrew Heinsisch. Personal Care Dentistry. General, Cosmetic, Restorative, Preventative, Family Dentist, Botox, Invisalign, Dental Implants, Emergency Dental Services, Crowns, TMD, Extractions, Periodontal Treatments Dentist in Roseville, MN 55113

Clear Aligner Case #3

Front teeth straightened in six months for mid-30s patient.

Dr. Kyle Hunt, Dr. Walter Hunt, DR. Andrew Heinsisch. Personal Care Dentistry. General, Cosmetic, Restorative, Preventative, Family Dentist, Botox, Invisalign, Dental Implants, Emergency Dental Services, Crowns, TMD, Extractions, Periodontal Treatments Dentist in Roseville, MN 55113Dr. Kyle Hunt, Dr. Walter Hunt, DR. Andrew Heinsisch. Personal Care Dentistry. General, Cosmetic, Restorative, Preventative, Family Dentist, Botox, Invisalign, Dental Implants, Emergency Dental Services, Crowns, TMD, Extractions, Periodontal Treatments Dentist in Roseville, MN 55113
Schedule an Appointment

Fill out the form below and will be in touch with you soon!

*All fields are required for a successful submission.